Tooth Whitening

Book Appointment

Tooth Whitening

Tooth Whitening | Tewkesbury dentist

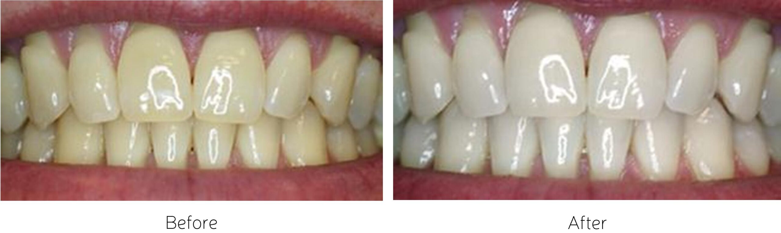
Teeth whitening remains the Number 1 procedure for enhancing the cosmetic appearance of a smile.

As we grow older our teeth will darken naturally due to exposure to dyes in tea/coffee, red wine and such like, and of course smoking. In these cases, teeth whitening is a quick solution to instantly brighten and whiten your smile. We are pleased to be able to offer this service of teeth whitening in our practice.

Tooth whitening is a safe way to undo any stains and brighten the natural colour of your teeth with effects that can last up to three years, leaving you feeling more confident about smiling.

We use a  ‘home’ whitening system at our clinic, all designed so that patients can experience the ease of whitening their teeth in the comfort and convenience of their own home. The great thing about home whitening is that you can stop when you reach your desired result which means that you are completely in control of the whitening process. Most patients see noticeable results in as little as 5-7 days when following their routine we advise.

At Tewkesbury Dental we’ll ask you to wear something called a tray, which looks like a gum shield, for 90 minutes a day over 14 days. You may be advised to keep the tray on overnight if your teeth are particularly badly stained. We make the tray from taking either an impression or scan of your teeth and each time you wear it at home you insert bleaching solution into it.

In addition, you may choose to ‘top-up’ your teeth whitening a few times a year should you wish, especially before that special occasion maybe.

How it works

We use the excellent White Wash system which has an option of either a 90 minute daytime use or an overnight preparation to suit your individual needs. 

One of the active ingredients in our tooth whitening system is carbamide peroxide and when this is applied to the surface of the teeth it breaks down, allowing oxygen into the enamel which lightens the colour.

The majority of people are able to enjoy the benefits of tooth whitening although it is unsuitable for people with extremely sensitive teeth, gum disease, numerous fracture lines in their teeth, or a history of joint problems. It’s also unsuitable for women who are pregnant or breastfeeding. Dr Ruparelia will check you are able to undergo the treatment safely, and then check the right outcome has been achieved to your satisfaction in your post treatment examination.

Unfortunately tooth whitening won’t work on dentures, crowns, fillings or veneers, or very severe stains acquired as a by product of taking the antibiotic tetracycline.

Are there any side effects?

Possible temporary side effects of this treatment are sensitive teeth during or after the procedure, discomfort in the gums, a sore throat and white patches on the gum line. These symptoms should disappear within a few days of the treatment finishing – patients are advised to contact Dr Ruparelia if they persist.

If you’d like a boost to your confidence, a brighter smile with tooth whitening at Tewkesbury Dental from just £200 is a really simple and affordable solution. Book a consultation with Dr Ruparelia to discuss if it’s suitable for you.

Telephone 01684 295900 | Email us here

What our patients are saying

Excellent care. Sensible advice and a very caring team of people. Boss man is VERY understanding of your personal life and situation. Receptionist (sa... Read More

Spike Sheppard

I've been a patient of lovely Mr R. for 30+ years. I find him very thorough and caring and feel fully confident in any treatment plans that become nec... Read More

Carrie McQuillan

This was my first visit to this practice. From the receptionist to the dental nurse and the dentist it was first class. Everything was explained even ... Read More

Ray Wilkinson

Saw Karen the dental Hygienist today and as usual she did a great job. Some new equipment is on site that makes the water warmer so that those with se... Read More

mark mcneilly

Very friendly staff from the receptionist to the hygienist and her nurse. Today was my first time here and saw Karen. She was very nice, explained w... Read More

Louise Cook
Call Now Email Us Book Now